How Much Is Teeth Composite Bonding . That way, we will be helping you make an informed decision and ensure you enjoy a smooth, satisfying experience. The difference in cost depends on the. — the average cost of dental bonding is $1,300, but it can cost as much as $6,400, according to 50 reviews from realself members. So, in this blog, we will share eleven things you should know before getting composite bonding in liverpool. In this easy procedure, your dentist will use a resin matching the color of your teeth to improve the appearance of teeth. — the average cost of dental bonding is around $300 to $600 per tooth. The procedure provides a solution for chipped teeth or gaps. — the cost of composite bonding can vary widely, but generally, it ranges from $100 to $600 per tooth. — at pall mall dental clinic, we’ve seen these concerns time and again. First, what’s composite bonding and how does it work?
from www.kordelhousedentalpractice.co.uk
That way, we will be helping you make an informed decision and ensure you enjoy a smooth, satisfying experience. — the cost of composite bonding can vary widely, but generally, it ranges from $100 to $600 per tooth. — at pall mall dental clinic, we’ve seen these concerns time and again. — the average cost of dental bonding is $1,300, but it can cost as much as $6,400, according to 50 reviews from realself members. In this easy procedure, your dentist will use a resin matching the color of your teeth to improve the appearance of teeth. So, in this blog, we will share eleven things you should know before getting composite bonding in liverpool. The procedure provides a solution for chipped teeth or gaps. The difference in cost depends on the. First, what’s composite bonding and how does it work? — the average cost of dental bonding is around $300 to $600 per tooth.
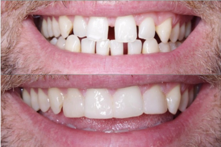
Composite Bonding in Lincoln Kordel House Dental Practice
How Much Is Teeth Composite Bonding — at pall mall dental clinic, we’ve seen these concerns time and again. So, in this blog, we will share eleven things you should know before getting composite bonding in liverpool. — the average cost of dental bonding is around $300 to $600 per tooth. The procedure provides a solution for chipped teeth or gaps. — at pall mall dental clinic, we’ve seen these concerns time and again. That way, we will be helping you make an informed decision and ensure you enjoy a smooth, satisfying experience. In this easy procedure, your dentist will use a resin matching the color of your teeth to improve the appearance of teeth. — the average cost of dental bonding is $1,300, but it can cost as much as $6,400, according to 50 reviews from realself members. First, what’s composite bonding and how does it work? The difference in cost depends on the. — the cost of composite bonding can vary widely, but generally, it ranges from $100 to $600 per tooth.
From claydondentalmk.co.uk
Composite Bonding Milton Keyens Just £250 per tooth How Much Is Teeth Composite Bonding In this easy procedure, your dentist will use a resin matching the color of your teeth to improve the appearance of teeth. The difference in cost depends on the. — at pall mall dental clinic, we’ve seen these concerns time and again. — the cost of composite bonding can vary widely, but generally, it ranges from $100 to. How Much Is Teeth Composite Bonding.
From www.dentalsquare.com.au
Composite Veneers Sydney Dental Bonding Sydney Dentist Ryde How Much Is Teeth Composite Bonding That way, we will be helping you make an informed decision and ensure you enjoy a smooth, satisfying experience. — the cost of composite bonding can vary widely, but generally, it ranges from $100 to $600 per tooth. In this easy procedure, your dentist will use a resin matching the color of your teeth to improve the appearance of. How Much Is Teeth Composite Bonding.
From bridgestdental.co.uk
How Much Does Composite Bonding Cost Per Tooth in the UK? How Much Is Teeth Composite Bonding — the cost of composite bonding can vary widely, but generally, it ranges from $100 to $600 per tooth. The procedure provides a solution for chipped teeth or gaps. That way, we will be helping you make an informed decision and ensure you enjoy a smooth, satisfying experience. — the average cost of dental bonding is $1,300, but. How Much Is Teeth Composite Bonding.
From www.smileworksdental.co.uk
Composite Bonding London Teeth Bonding From £195 How Much Is Teeth Composite Bonding — the average cost of dental bonding is $1,300, but it can cost as much as $6,400, according to 50 reviews from realself members. — at pall mall dental clinic, we’ve seen these concerns time and again. First, what’s composite bonding and how does it work? The procedure provides a solution for chipped teeth or gaps. The difference. How Much Is Teeth Composite Bonding.
From finklehilldental.co.uk
Composite Bonding Dental Veneers Finkle Hill Dental How Much Is Teeth Composite Bonding The difference in cost depends on the. — the cost of composite bonding can vary widely, but generally, it ranges from $100 to $600 per tooth. — the average cost of dental bonding is $1,300, but it can cost as much as $6,400, according to 50 reviews from realself members. So, in this blog, we will share eleven. How Much Is Teeth Composite Bonding.
From www.sydneysmiledoctor.com.au
What is Composite Bonding Teeth Sydney Smile Doctor How Much Is Teeth Composite Bonding The difference in cost depends on the. — the cost of composite bonding can vary widely, but generally, it ranges from $100 to $600 per tooth. In this easy procedure, your dentist will use a resin matching the color of your teeth to improve the appearance of teeth. — at pall mall dental clinic, we’ve seen these concerns. How Much Is Teeth Composite Bonding.
From smilestories.co
Pros And Cons Of Composite Bonding Smile Stories How Much Is Teeth Composite Bonding — the average cost of dental bonding is around $300 to $600 per tooth. In this easy procedure, your dentist will use a resin matching the color of your teeth to improve the appearance of teeth. First, what’s composite bonding and how does it work? — the cost of composite bonding can vary widely, but generally, it ranges. How Much Is Teeth Composite Bonding.
From prodentalclinic.london
Composite Bonding on Harley Street Pro Dental Clinic How Much Is Teeth Composite Bonding First, what’s composite bonding and how does it work? In this easy procedure, your dentist will use a resin matching the color of your teeth to improve the appearance of teeth. The procedure provides a solution for chipped teeth or gaps. — the average cost of dental bonding is around $300 to $600 per tooth. — at pall. How Much Is Teeth Composite Bonding.
From www.beverleydental.co.uk
Composite Bonding Raynes Park Beverley Dental How Much Is Teeth Composite Bonding — at pall mall dental clinic, we’ve seen these concerns time and again. — the cost of composite bonding can vary widely, but generally, it ranges from $100 to $600 per tooth. — the average cost of dental bonding is $1,300, but it can cost as much as $6,400, according to 50 reviews from realself members. First,. How Much Is Teeth Composite Bonding.
From www.nyccd.com
Composite Bonding [GUIDE] Fix Teeth Stains, Gaps, Shape & More How Much Is Teeth Composite Bonding — at pall mall dental clinic, we’ve seen these concerns time and again. The procedure provides a solution for chipped teeth or gaps. The difference in cost depends on the. In this easy procedure, your dentist will use a resin matching the color of your teeth to improve the appearance of teeth. — the average cost of dental. How Much Is Teeth Composite Bonding.
From www.opencare.com
Tooth bonding 101 How it works, how much is costs, and what to expect How Much Is Teeth Composite Bonding — the average cost of dental bonding is around $300 to $600 per tooth. — at pall mall dental clinic, we’ve seen these concerns time and again. So, in this blog, we will share eleven things you should know before getting composite bonding in liverpool. That way, we will be helping you make an informed decision and ensure. How Much Is Teeth Composite Bonding.
From www.paramountdentalsydney.com.au
Composite Veneers Dental Bonding Paramount Dental Sydney How Much Is Teeth Composite Bonding — the cost of composite bonding can vary widely, but generally, it ranges from $100 to $600 per tooth. In this easy procedure, your dentist will use a resin matching the color of your teeth to improve the appearance of teeth. — the average cost of dental bonding is around $300 to $600 per tooth. First, what’s composite. How Much Is Teeth Composite Bonding.
From www.dentalonthebanks.co.uk
Types of Composite Bonding Dental on the Banks How Much Is Teeth Composite Bonding — the average cost of dental bonding is $1,300, but it can cost as much as $6,400, according to 50 reviews from realself members. The difference in cost depends on the. That way, we will be helping you make an informed decision and ensure you enjoy a smooth, satisfying experience. — at pall mall dental clinic, we’ve seen. How Much Is Teeth Composite Bonding.
From together.dental
Composite Bonding Free Consultation Together Dental How Much Is Teeth Composite Bonding First, what’s composite bonding and how does it work? — the average cost of dental bonding is $1,300, but it can cost as much as $6,400, according to 50 reviews from realself members. That way, we will be helping you make an informed decision and ensure you enjoy a smooth, satisfying experience. — at pall mall dental clinic,. How Much Is Teeth Composite Bonding.
From www.kordelhousedentalpractice.co.uk
Composite Bonding in Lincoln Kordel House Dental Practice How Much Is Teeth Composite Bonding — the average cost of dental bonding is $1,300, but it can cost as much as $6,400, according to 50 reviews from realself members. — the cost of composite bonding can vary widely, but generally, it ranges from $100 to $600 per tooth. First, what’s composite bonding and how does it work? — at pall mall dental. How Much Is Teeth Composite Bonding.
From www.northway-dental.co.uk
Composite Bonding Cosmetic Dentist Liverpool & Ormskirk How Much Is Teeth Composite Bonding So, in this blog, we will share eleven things you should know before getting composite bonding in liverpool. — at pall mall dental clinic, we’ve seen these concerns time and again. — the average cost of dental bonding is $1,300, but it can cost as much as $6,400, according to 50 reviews from realself members. First, what’s composite. How Much Is Teeth Composite Bonding.
From healthjade.com
Teeth bonding or dental bonding pros and cons, how long dental bonding last How Much Is Teeth Composite Bonding That way, we will be helping you make an informed decision and ensure you enjoy a smooth, satisfying experience. — at pall mall dental clinic, we’ve seen these concerns time and again. — the average cost of dental bonding is $1,300, but it can cost as much as $6,400, according to 50 reviews from realself members. First, what’s. How Much Is Teeth Composite Bonding.
From www.murraydental.co.uk
Composite Bonding Northern Ireland Murray Dental Omagh How Much Is Teeth Composite Bonding — at pall mall dental clinic, we’ve seen these concerns time and again. First, what’s composite bonding and how does it work? — the average cost of dental bonding is around $300 to $600 per tooth. The procedure provides a solution for chipped teeth or gaps. In this easy procedure, your dentist will use a resin matching the. How Much Is Teeth Composite Bonding.